Legionnaires’ illness reported in Bronx after Harlem outbreak – NBC New York

A seventh individual has died on account of the Legionnaires’ illness outbreak in Harlem, in keeping with well being officers.
The New York Metropolis Well being Division stated Thursday that the seventh demise was one among 114 confirmed circumstances in all since late July. There have been six individuals at present within the hospital after being sickened by the illness.
It comes simply days after authorities stated they have been investigating not less than not less than two circumstances of Legionnaires’ illness at a Bronx condominium advanced to find out a doable connection, although they stated these sufferers weren’t believed to be linked to the Harlem cluster.
The Bronx circumstances are considered associated to a constructing’s inner sizzling water plumbing system, well being officers say, which is completely different from when they’re tied to cooling towers, as is the case within the Central Harlem outbreak. When cooling towers are concerned, the outbreak spans a number of neighborhoods.
Circumstances are extra self-contained when a single constructing is concerned.
The micro organism that causes Legionnaires’ illness had been found in 12 cooling towers on 10 buildings, together with a city-run hospital and sexual well being clinic, well being officers stated. Remediation efforts have since been accomplished on the entire cooling towers and officers say they consider the Harlem outbreak is contained.
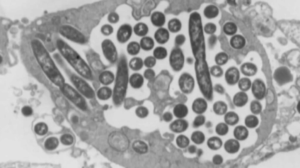
Legionnaires’ illness is a sort of pneumonia that’s brought on by Legionella micro organism, which grows in heat water and unfold via constructing water techniques.
Folks normally develop signs — a cough, fever, complications, muscle aches and shortness of breath — between two days to 2 weeks after publicity to the micro organism, in keeping with the U.S. Facilities for Illness Management and Prevention.
Metropolis well being officers say individuals who reside or work within the space ought to contact a healthcare supplier in the event that they develop flu-like signs.
